Este fungo foi obtido por cultura de um fragmento de granuloma extraído cirurgicamente da região maxilo-etmoidal esquerda de um paciente com 65 anos residente na região centro de Portugal.
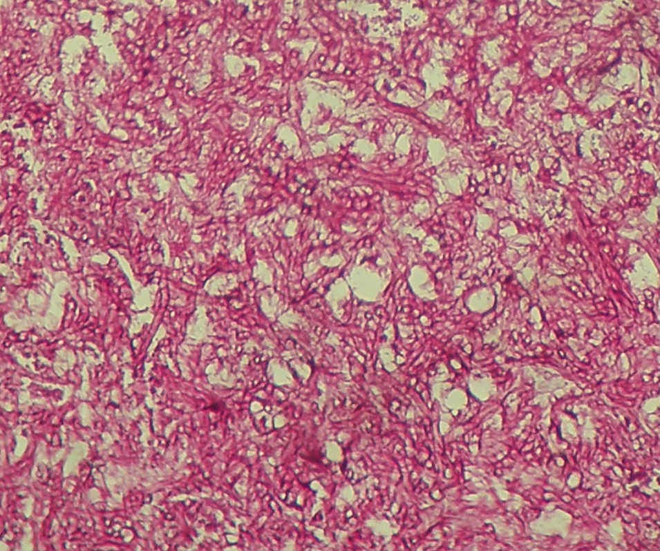
O exame macroscópico da peça revela uma massa com consistência e textura semelhante a queijo, sugerindo etiologia fúngica. O relatório anatomopatológico relata a presença de fragmentos de mucosa sino-nasal com infiltradoo linfoplasmocítico e de fragmentos que correspondem a massas densas de hifas e esporos com extensa calcificação .
O granuloma provocava destruição óssea que foi corrigida cirurgicamente.
O exame macroscópico da peça revela uma massa com consistência e textura semelhante a queijo, sugerindo etiologia fúngica. O relatório anatomopatológico relata a presença de fragmentos de mucosa sino-nasal com infiltradoo linfoplasmocítico e de fragmentos que correspondem a massas densas de hifas e esporos com extensa calcificação .
O granuloma provocava destruição óssea que foi corrigida cirurgicamente.
O Conidiobolus coronatus é fungo filamentoso do grupo dos zigomicetes. Tem uma distribuição mundial mas predomina nas florestas húmidas tropicais.
A colónia apresenta um crescimento moderado, o aspecto macroscópico faz lembrar cera. Após alguns dias de incubação a periferia da colónia poderá apresentar novas pequenas colónias contribuindo para uma distribuição radial característica.
À microscopia apresenta conidióforos que dão origem a um conideo terminal. Os conideos são esféricos, unicelulares, e possuem uma papila proeminente, por vezes os conideos apresentam projecções externas (villae).
Os conideos podem germinar dando origem a tubos (hifas) únicos ou múltiplos que por sua vez originam outros conideos ou dando origem a pequenos conidióforos.
![]() |
| Exame histológico de peça de biópsia: presença de hifas. |
![]() |
| Maior ampliação da imagem anterior. |
![]() |
| Ainda maior ampliação. |
![]() |
| 2º corte. |
![]() |
| maior ampliação do 2º corte: enorme quantidade de hifas embora apenas uma colónia tenha sido obtida por cultura (o doente não estava à época sob qualquer tratamento antifungico) |
| massa densa de hifas pouco septadas |






